Protesi femore

Logo redazione Articolo realizzato dalla redazione
Informazioni sui Consulenti Scientifici

Protesi femore

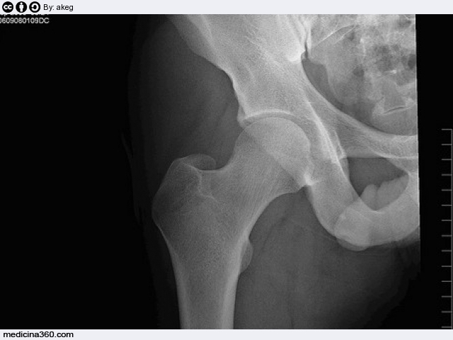
La protesi del femore è utilizzata per trattare la frattura del collo del femore.Vediamo come avviene l'intervento e quando è necessario sostituirla.

La protesi del femore o endoprotesi è utilizzata per trattare, generalmente negli anziani con problemi di osteoporosi, la frattura del collo del femore.

Per via chirurgica viene asportata la parte femorale dell'articolazione dell'anca e sostituita con una protesi di speciale lega metallica. La testa metallica della protesi viene ad articolarsi direttamente nell'acetabolo. La protesi femorale può essere:

Ovviamente la scelta di una o l'altra soluzione dipende dall'età e dalla salute del paziente.

La protesi femorale come tutte le protesi è soggetta a consumo che è tanto più rapido quanto più improprio è l'uso che se ne fa.

Articoli correlati

Protesi anca Guida Completa alla Protesi di Caviglia: Tipi, Procedure e Domande Frequenti Tutto su Protesi del Gomito: Tipologie, Intervento, e Recupero Tutto ciò che devi sapere sulle protesi del piede Protesi dentarie: cosa sono? Tipi, prezzi, benefici ed effetti collaterali Protesi di Spalla: Guida Completa, Tipi, Procedure e Recupero